My New Elbow Screw
(earned while working crew for Carmen)

Line

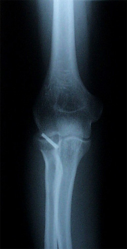
Straight Elbow I was awake during my elbow surgery, which was weird since I could hear Dr. Howson and her assistant debating about what size of screw to use, worrying about the pins slipping, and tapping at things with what sounded like a little hammer. (The pins were plastic and will disintegrate, but the screw will be with me forever.)

Bent Elbow

Line

Lucinda’s WBO Page

Line